Cabinet dentaire du Docteur LE GALLO
Soins, Implantologie, Esthétique dentaire, Parodontologie, Prothèses dentaires
Cabinet dentaire du Docteur LE GALLO
Soins, Implantologie, Esthétique dentaire, Parodontologie, Prothèses dentaires

6 Rue Joseph Chantemille
03100 Montluçon

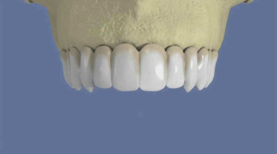
Maxillaire : bridge vissé sans fausse gencive


video-play-icon

Articles similaires

Création par Webdentiste

Connexion